AWKWARD ZOMBIE

usually not funny
It is currently Sat Nov 08, 2025 12:24 am

All times are UTC - 5 hours




Post new topic Reply to topic  [ 17 posts ]  Go to page 1, 2  Next
Author Message
 Post subject: My polyp
PostPosted: Wed May 06, 2009 1:32 pm 
Offline
User avatar

Joined: Thu Apr 17, 2008 4:58 pm
Posts: 634
Location: Austria
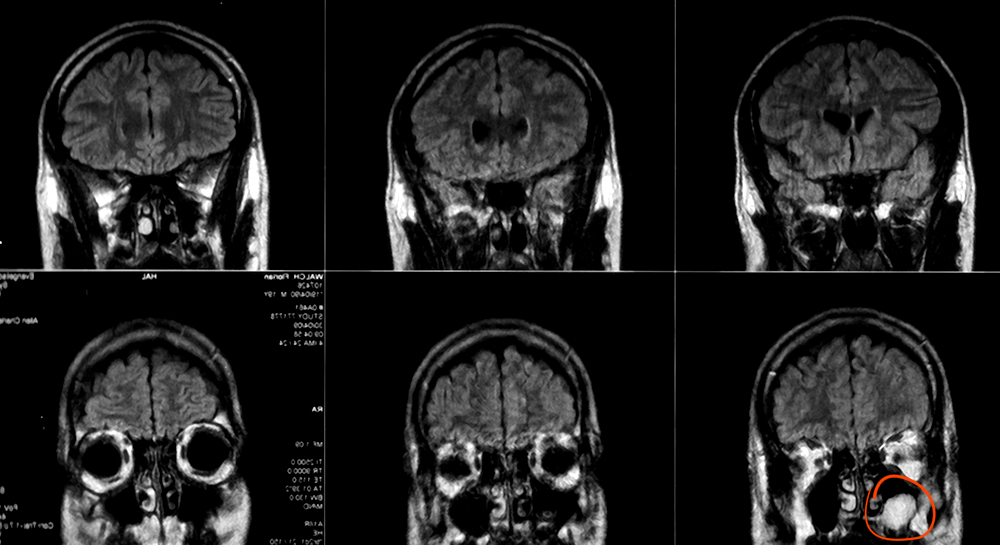
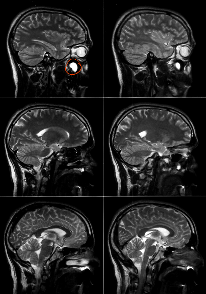
Upper left one, the big white thing under my eye:
Image

Lower right one, the big white thing that fucks up the beautiful symmetry of my sinuses:
Image

Pretty cool, huh? :colbert:

_________________
"I don't like to meddle in my private affairs."


Top
 Profile  
 
 Post subject:
PostPosted: Wed May 06, 2009 1:40 pm 
Offline
Ordo Hereticus
User avatar

Joined: Sat Aug 18, 2007 5:03 am
Posts: 11856
Location: Dept. of Shadowy Arts and Crafts
I half expected to see a donut in your brain.

_________________
Image


Top
 Profile  
 
 Post subject:
PostPosted: Wed May 06, 2009 7:34 pm 
Offline
User avatar

Joined: Thu Jun 14, 2007 12:01 am
Posts: 6531
Location: Nothing but crumpled porno and Ayn Rand.
Mmm... polyps.

_________________
M


Top
 Profile  
 
 Post subject:
PostPosted: Wed May 06, 2009 7:44 pm 
Offline

Joined: Sun Jul 27, 2008 2:33 pm
Posts: 5647
Location: Califormania
Huh?


Top
 Profile  
 
 Post subject:
PostPosted: Wed May 06, 2009 9:40 pm 
Offline
User avatar

Joined: Sun Jun 22, 2008 8:37 pm
Posts: 3931
Location: The Present
The Big Cheese wrote:
I half expected to see a donut in your brain.


Personally, I expected a crayon.

Image

_________________
Image


Top
 Profile  
 
 Post subject:
PostPosted: Wed May 06, 2009 11:09 pm 
Offline
User avatar

Joined: Wed Mar 04, 2009 6:26 pm
Posts: 146
Location: Work
What's it do?

_________________
Image


Top
 Profile  
 
 Post subject:
PostPosted: Wed May 06, 2009 11:32 pm 
Offline
User avatar

Joined: Mon Jul 30, 2007 6:03 am
Posts: 3267
Location: I am up in your Brills.
I don't know what it is, but I know I'm scared of looking it up.

_________________
Image


Top
 Profile  
 
 Post subject:
PostPosted: Wed May 06, 2009 11:36 pm 
Offline
Stone-Cold Cinderella
User avatar

Joined: Sun Jul 06, 2008 12:40 am
Posts: 3190
Location: ssssssssssssssss
It's an abnormal growth of tissue that comes from a mucous membrane.

http://en.wikipedia.org/wiki/Nasal_polyp

Poor Unge...


Top
 Profile  
 
 Post subject:
PostPosted: Thu May 07, 2009 1:30 am 
Offline
Sir Lurksalot
User avatar

Joined: Mon Apr 07, 2008 3:37 am
Posts: 5867
Location: I'm probably somewhere that you aren't, but you think I'm there, but you're not sure.
for some reason the song ITS NOT A TUMOR came to mind

_________________
Image
this is my tf2 shit

Mr. Torgue wrote:
OH SNAP, THE MONSTER I SENT YOU TO KILL, IS ACTUALLY A MONSTER TRUCK. PUNS MOTHER FUCKER.

3DS FC: 3625-8484-5988


Top
 Profile  
 
 Post subject:
PostPosted: Thu May 07, 2009 2:41 am 
Offline
User avatar

Joined: Thu Apr 17, 2008 4:58 pm
Posts: 634
Location: Austria
I hope I get to keep it in a jar after they cut it out. :<

_________________
"I don't like to meddle in my private affairs."


Top
 Profile  
 
 Post subject:
PostPosted: Thu May 07, 2009 8:15 am 
Offline
User avatar

Joined: Mon Nov 10, 2008 6:22 pm
Posts: 2507
What the hell happened to your eye? I realise it's probably not the same views of the head but it looks like it suddenly got squished and turned to juice or jell or something!

Image


Top
 Profile  
 
 Post subject:
PostPosted: Thu May 07, 2009 9:17 am 
Offline
User avatar

Joined: Wed Feb 11, 2009 6:42 am
Posts: 165
Location: Queensland
I can see the thinnest part of your skull.

*aims for that*


Top
 Profile  
 
 Post subject:
PostPosted: Thu May 07, 2009 7:42 pm 
Offline
User avatar

Joined: Wed Mar 04, 2009 6:26 pm
Posts: 146
Location: Work
Yeili wrote:
It's an abnormal growth of tissue that comes from a mucous membrane.

http://en.wikipedia.org/wiki/Nasal_polyp

Poor Unge...

Eww. That sucks, dude.
Ungeheuer wrote:
I hope I get to keep it in a jar after they cut it out. :<

Make sure to show us a picture of it.

_________________
Image


Top
 Profile  
 
 Post subject:
PostPosted: Thu May 07, 2009 8:01 pm 
Offline
User avatar

Joined: Fri Jun 15, 2007 1:16 am
Posts: 4242
Location: Under the radar.
Don't get it removed, everyone knows nasal polyps are a producer of the hormone that causes you to be hella classy.

If you get it removed, you'll end up like Fooflyer.

_________________
Image
Last edited by Powers Which You Cannot Comprehend on Fri Dec 21, 2012 8:36 pm; edited 1 time in total


Top
 Profile  
 
 Post subject:
PostPosted: Thu May 07, 2009 8:58 pm 
Offline
User avatar

Joined: Sun Apr 27, 2008 7:05 pm
Posts: 2039
Location: the Velvet Room
Darn. I was thinking about coral reefs.

On the other hand, eeeeeeeegh...

_________________
Image


Top
 Profile  
 
Display posts from previous:  Sort by  
Post new topic Reply to topic  [ 17 posts ]  Go to page 1, 2  Next

All times are UTC - 5 hours


Who is online

Users browsing this forum: No registered users and 46 guests


You cannot post new topics in this forum
You cannot reply to topics in this forum
You cannot edit your posts in this forum
You cannot delete your posts in this forum
You cannot post attachments in this forum

Search for:
Jump to:  
cron
Powered by phpBB © 2000, 2002, 2005, 2007 phpBB Group